Hírek
2016. Május 02. 13:56, hétfő |
Belföld
Forrás: mti
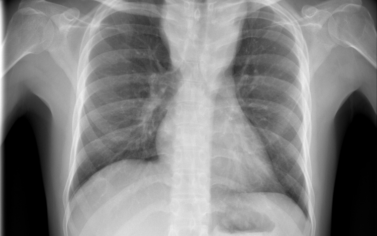
Terjed a tbc Szatymazon?

Hétfő reggel óta tbc-tesztet végeznek el a gyerekeken egy szatymazi általános iskolában, ahol egy hete fertőző tüdőbetegségben halt meg egy korábban ott dolgozó nő - közölték az M1 aktuális csatorna déli Híradójában.
A Délmagyar hírportál hétfő reggel írt arról, hogy februárig dolgozott a szatymazi iskolában közmunkásként az nő, aki tuberkulózisban (tbc) halt meg egy hete. Az ügyben rendkívüli szülői értekezletet tartottak. Az általános iskola 260 tanulója közül szülői beleegyezéssel 250-en végzik el a tbc-tesztet.
Az M1 tudósítója a helyszínről azt mondta: több szülővel beszéltek, ők nem voltak megriadva; elmondták, hogy az iskola azonnal tájékoztatta őket arról, mi történt a nővel, aki takarítóként dolgozott az iskolában február végéig. A tudósító megjegyezte, a tbc tüneteinek lappangási ideje 28-30 nap, ez az idő már letelt, de egyetlen gyereken sem tapasztaltak egyetlen tünetet sem.
Felidézték, hogy Magyarországon 1954 óta kötelező a tbc elleni védőoltás. Most az iskola diákjain biztonsági intézkedésként végzik el az úgynevezett Mantoux-tesztet, amely kimutatja, hogy védettek-e a tbc ellen. Ezt a tesztet később, három és hat nap múlva is megismétlik - hangzott el a Híradóban.
Április elején egy debreceni óvodában volt szükség hasonló intézkedésekre, mert az intézmény egyik dolgozója tüdőtuberkulózissal fertőződött meg.
Ezek érdekelhetnek még
2025. Október 03. 07:01, péntek | Belföld
Energiaügyi államtitkár: 20 százalékkal emelkedne Magyarország energiaszámlája az orosz energiaembargó hatására
Húsz százalékkal emelkedne Magyarország energiaszámlája az orosz energiaembargó hatására - jelentette ki az Energiaügyi Minisztérium (EM) parlamenti államtitkára csütörtökön Szegeden.
2025. Október 03. 07:00, péntek | Belföld
Szijjártó Péter: Magyarország történetének leghosszabb távú LNG-szerződését írta alá az ENGIE-vel
Magyarország történetének leghosszabb távú szerződését írta alá cseppfolyósított földgáz (LNG) beszerzéséről a francia ENGIE-vel, amely fontos pillérét fogja jelenteni hazánk energiabiztonságának a jövőben
2025. Október 02. 07:06, csütörtök | Belföld
Hidvéghi Balázs: ma kezdődik a nemzeti konzultáció kérdőíveinek postázása
Ma kezdődik a nemzeti konzultáció kérdőíveinek postázása Budapesten, november elejére, közepére, országszerte mindenki megkapja őket - mondta Miniszterelnöki Kabinetiroda parlamenti államtitkára szerdán.
2025. Október 02. 07:05, csütörtök | Belföld
Orbán Viktor: Ukrajna felvétele ügyében nem lehet megkerülni Magyarországot
Magyarország megkerülésével, jogi trükközéssel nem lehet megnyitni Ukrajna európai uniós csatlakozási folyamatát